A Rare Threat: Navigating the Complex Diagnosis of Paediatric Retropharyngeal Abscess
Retropharyngeal Abscess, a Rare Threat

DOI:
https://doi.org/10.4274/jpea.2025.465Keywords:
Retropharyngeal abscess, child, anti-bacterial agents, drug resistanceAbstract
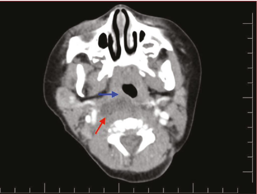
The retropharyngeal abscess (RPA) is an uncommon and potentially fatal infection of the deep spaces in the neck. The global incidence is unknown, but it has been reported to be more common in children between six months and six years. The clinical manifestations are unspecified and exhibit a different disease etiology from those in adults. The imaging studies are useful to reveal details of the severity of the illness and its complications. Treatment options include conservative therapies or surgery. We presented the difficult diagnostic case of a 6-month-old male infant with nonspecific symptoms, and an imaging study that showed a RPA that did not respond to initial antibiotic therapy. Knowledge of clinical manifestations, primary diagnosis tools, and timely treatment of this entity is crucial to avoiding life-threatening complications, especially in infants, given the diagnostic challenge posed by the difficulty of identifying symptoms in this population.

Downloads
Published
How to Cite
Issue
Section
License
Copyright (c) 2023 The Journal of Pediatric Academy

This work is licensed under a Creative Commons Attribution-NonCommercial-NoDerivatives 4.0 International License.